This is Patch, a young sweet natured dog.
Patch is a street born dog who found himself in the wrong place at the wrong time & got hit by a car.
As is always the case the driver didn’t stop to see if Patch was alive or dead, they didn’t think to see if he needed any help. They just carried on driving, leaving the poor lad lying in the road in agony.
Luckily, since the shelter project opened most of the people in the town have grown to care very much for the dogs due to the numerous community events at the shelter.
Negative attitudes passed down from generation to generation are thankfully dying out as people have the chance to meet the dogs at the shelter. The dogs show them that are no threat whatsoever & are actually great to be around!
One of these kind people called it in for Patch & the ambulance was on it’s way. Patch was treated for shock at the scene & stretchered on to the vehicle to be taken to Hakan the vet.
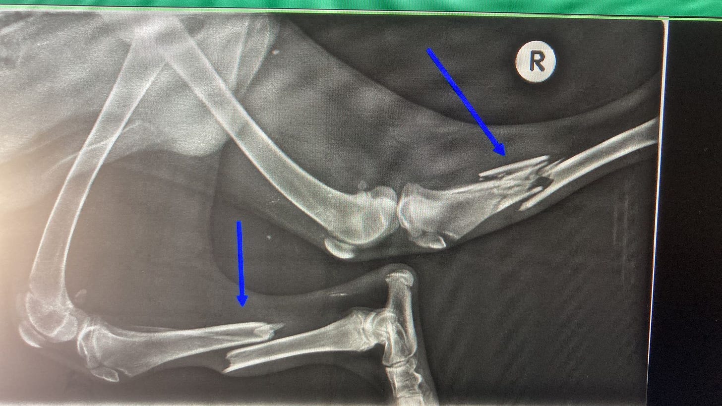
As you can see from the x-rays poor Patch had multiple breaks affecting three of his legs. He must have been in such a great amount of pain & so stressed.
He underwent several surgeries to repair the breaks with the use of plates & he also needed an external fixator.
He was standing in less than 24hrs which is always a really good sign. It’s heart breaking for us humans to watch dogs like Patch, so obviously unwell hobbling around on terribly injured limbs but, for the dogs it’s necessary for recovery. The movement promotes bone healing by stimulating blood flow which allows them to heal faster & gives a better chance of getting functionality to the limb. Movement is obviously very limited at first, slow but steady.
Patch remained with our vet for a month before being transferred to the small clinic patient rehabilitation room where he will stay until being moved to a private kennel
It warms our hearts to see dogs like Patch wagging their tails & taking an interest in life again. Hopefully once he is fully recovered somebody will want to adopt him. Wouldn’t that be wonderful!
Thank you for listening to his story & thank you for all the wonderful support you give us so that dogs like Patch have a chance at life. You truly are amazing x







